垂体-T1
2018-04-19 11:59:06

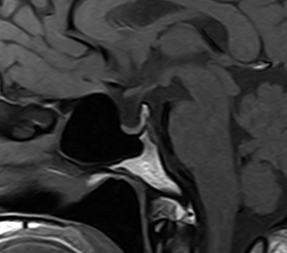
垂体-T2

垂体-T1

垂体-T1

垂体-T2

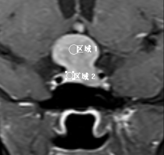
垂体-动态增强

垂体-动态增强曲线
上一篇
没有了!
没有了!
下一篇

垂体-T2

垂体-T1

垂体-T1

垂体-T2

垂体-动态增强

垂体-动态增强曲线
Copyright © 2018-2022 苏州朗润医疗系统有限公司 版权所有 技术支持:苏州网站建设