无刀的手术——脑肿瘤治疗新选择
2018-04-11 00:00:00

癌症之于人类,从来都是与死亡或恐惧相连。
时至今日,人们依旧“谈癌色变”。
一是因为其死亡率高,二是“放疗”“化疗”让人痛苦不堪。
那么,对于肿瘤患者,是否存在无痛又科学的治疗方式呢?

48岁的满女士,在被诊断为恶性脑胶质瘤后,当即请求神经外科的医生,进行手术切除治疗。
手术很成功,满女士随后便开始接受放射治疗。
然而,满女士脑内被切除的胶质瘤复发了,就在放射治疗8个月之后。
此次病情复发,让满女士万念俱灰。


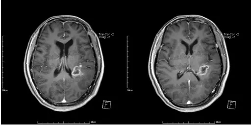
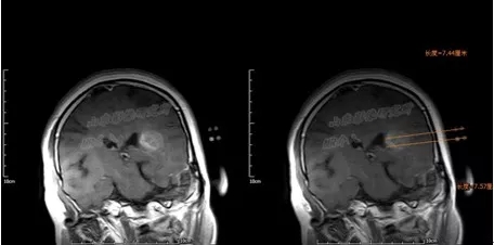
磁共振图清晰显示了满女士手术后复发病变情况
医生说,该病变在脑内位置较深,与周围组织关系复杂,手术完全切除难度较大。
正是在这生死时刻,医生给他推荐了一种无刀的新技术,可以无痛治疗脑肿瘤。
说起这个技术,很多人也不陌生,就是介入微创治疗技术。
介入微创治疗是医学领域发展起来的一种新的疾病治疗手段,在临床上具有独特的技术优势。很多医院都设有介入医学科,
并在CT/超声引导下开展各种手术治疗。但满女士接触到的,是磁共振引导下的介入微创治疗。

磁共振介入诊疗手术室
1984年,山东省医学影像学研究所率先开展了介入微创治疗的临床研究。
2000年,这里率先开展磁共振导引下的介入手术操作,成功地将磁共振介入技术应用于临床。
满女士接受治疗的山东省立医院,也是山东省医学影像学研究所的所在地。
因此,在得知自己肿瘤复发后,幸运的满女士有了另一个选择——磁共振介入微创治疗手术。

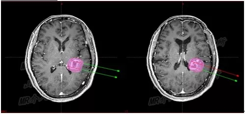
术前TPS计划
山东省医学影像学研究所/磁共振微创介入科的李成利主任在了解满女士的病情后,采取了
磁共振联合个体化平行插植3D打印模板引导I125放射性粒子植入治疗。
根据相关文献报道,I125放射性粒子应用于脑胶质瘤治疗始于1979年,随后大量的研究证明了其有
效性及相对低的并发症发生率,为脑胶质瘤治疗提供了一种有效的选择。


3D打印模板术中定位
但是磁共振+3D打印模板+I125粒子植入的创新组合,却是史无前例。
根据满女士的治疗计划,李成利主任找专人制作了颅脑介入手术专用的3D打印引导模板。

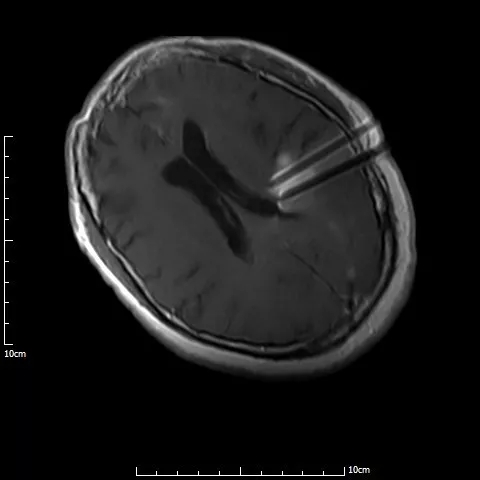
介入手术治疗中,
磁共振实时引导技术保证介入手术过程在可视化下连续性完成

手术过程仅半小时,先对满女士进行局麻,然后在1.0T开放式介入磁共振监控及3D打印模板引导下,
李成利主任将4根磁共振兼容性穿刺针平行穿刺至肿瘤病变既定位置,根据近距离放疗计划植入I125放射性粒子,
该粒子通过持续释放低剂量γ射线对肿瘤细胞起到杀伤作用,而且对周边正常脑组织损伤较小。

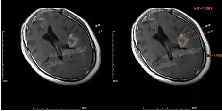
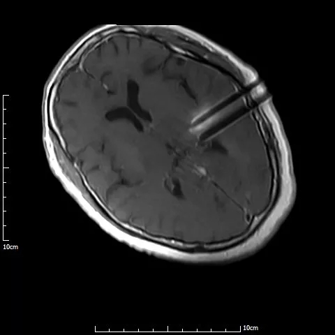
术中磁共振显示,4根穿刺针平行准确穿刺至病灶内
意识清醒的满女士,得知自己的肿瘤治疗这么快就结束了,有点不敢相信。
手术结束后,李成利主任给满女士做了CT扫描,进行剂量验证,一切都在计划标准范围之内,肿瘤顺利被消除,也没有任何并发症出现。

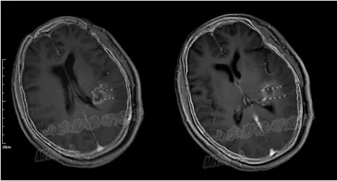
术后24小时内MRI/CT图像融合

MR/CT融合图像解决了I125放射性粒子在磁共振图像上显示不清、CT图像病灶轮廓勾画
困难的缺点,达到精准的病灶与粒子的空间分布显示,有利于术后的TPS验证。
目前,大多肿瘤仍采取以外科手术为主的综合治疗,像满女士这样肿瘤复发或治疗效果不佳的也不在少数。
而以磁共振/超声/CT等影像设备引导下的介入治疗,可以在最大限度保护器官组织正常功能情况下消灭肿瘤,具有
创伤小、并发症少、术后恢复快等优势,80%的肿瘤患者可以接受治疗,为不能手术切除的部分实体瘤患者提供了新
的治疗方法,也为害怕“一刀切”的患者提供了一种新选择。

利教授,
山东大学 山东省医学影像学研究所磁共振介入研究室主任,
国家肿瘤微创治疗产业技术创新战略联盟
磁共振介入专业委员会主任委员,
中国抗癌协会肿瘤微创委员会副主任委员,
中国医药教育协会介入微创专业委员会副主任委员,
山东省医师协会肿瘤介入医师分会主任委员,
美国印第安那大学及芬兰OULU大学医院高级访问学者,
国内知名的微创与介入治疗专家。
截至目前,山东省医学影像学研究所已完成磁共振导引下的各种微创介入手术近10000余人次,在全国都有较高的知名度与影响力。
李成利主任所带领的磁共振微创介入科的工作主要包括:
经皮穿刺活检术(诊断不明确的肺、肝、脑、肾、骨、乳腺、纵膈及腹膜后病变等)
囊肿、血肿和脓肿穿刺抽吸引流术(肝囊肿、肾囊肿、脑脓肿及肝脓肿等)
氩氦刀冷冻消融治疗恶性肿瘤(无法外科手术治疗的肺癌、肝癌、肾癌及转移瘤等)
I放射性粒子及与氟尿嘧啶缓释剂化学药物植入术治疗原发及转移恶性肿瘤(无法外科手术治疗的肺癌、肝癌、脑胶质瘤、脑转移瘤等)
神经性疼痛微创治疗(神经根阻滞、腹腔神经丛阻滞与毁损术等)
椎间盘突出症微创治疗(腰椎间盘突出症臭氧治疗等)
神经外科术前定位与评估(脑肿瘤、脊髓肿瘤等)
“如果可以更精准地消灭肿瘤,我为什么不去做呢?”

李成利创新工作室
联系方式:0531-68776790 13553163199
在李成利主任及其团队的努力下,山东省医学影像学研究所的磁共振介入诊疗技术发展日新月异。
2017年,山东省卫计委批准成立并命名“李成利创新工作室”,希望推广这项新技术,
试图让更多的医生一起参与研究并实践这项技术,让更多的患者免于病痛的折磨,
享受到新技术带来的健康。







